皇冠信用网在线注册_河南一老人做冠脉造影手术时一截导丝断在血管中!院方回应
世界杯皇冠信用网平台(www.hg0088.us)为您提供最新登1登2登3代理网址,包括新2登1登2登3代理手机网址,新2登1登2登3代理备用网址,皇冠登1登2登3代理最新网址,近日,来自河南汝州的高女士反映称,她的父亲在河南省胸科医院做冠脉造影手术时,手术所用导丝末端断裂,一截导丝被遗留在血管中皇冠信用网在线注册。“父亲原本就有血栓,担心随着父亲年龄增长,病情会加剧。”
9月30日,涉事医院医患办公室工作人员告诉南都N视频记者,术后院方组织了相关科室会诊,判断回旋支指引导丝远段断裂,与患者回旋支弥漫性动脉硬化重度狭窄病变及钙化有关皇冠信用网在线注册。如果患者需要做医疗事故鉴定,院方将全力配合。目前仍在与该病人家属进行协商。

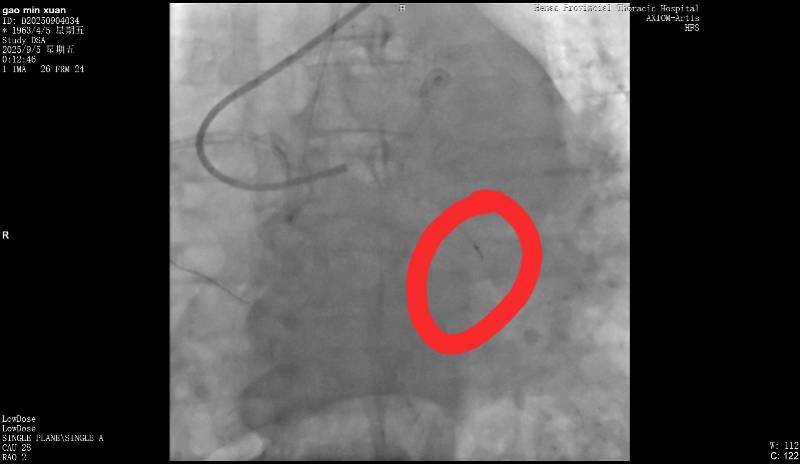
断裂的导丝皇冠信用网在线注册。受访者供图
病人家属:担心遗留导丝会加剧病情
高女士向南都记者介绍,其父亲今年62岁,去年因冠心病在河南省胸科医院做过支架植入手术皇冠信用网在线注册。今年9月2日,因感到胸闷,其父亲再次到该医院复查。
9月5日,高女士父亲在该医院做冠脉造影,手术进行了近3个小时皇冠信用网在线注册。高女士回忆说,手术结束后,负责手术的医生告诉她,“在微创探查体内的时候,一截导丝断裂。”当高女士询问能否再次实施手术取出时,医生表示因病患年纪较大,开胸手术存在危险,并没有取出的必要。但对于遗留导丝会否在后续造成长期影响,该医生则称“无法确定”。
高女士提供的病程记录显示,“手术操作过程中出现回撤导丝困难,送入微导管尝试至坎顿处未成功,退出微导管时远段导丝断裂,多途径尝试取出断裂导丝均未能成功皇冠信用网在线注册。”资料还指出,“通过复查造影,回旋支近段残余狭窄小于30%,未见明显夹层、无复流。”
南都记者留意到,该病程记录给出了心血管外科一病区会诊意见,称“回旋支内见离断的介入导丝,外科取出导丝意义不大,建议内科治疗”皇冠信用网在线注册。
高女士认为,父亲原本就有血栓,按照医院的说法,他的血管狭窄、钙化严重,其担心随着父亲年龄增长,情况会加剧皇冠信用网在线注册。她表示,目前有两个诉求,一是希望医院能给予一定金额的赔偿;二是由医院对接能做开胸手术的医院,必要情况下协助垫付一定费用。
涉事院方:可配合做相关医疗鉴定
9月30日,南都记者联系涉事医院医患办咨询,接线人员表示,目前已了解高女士的诉求,正积极与高女士进行协商皇冠信用网在线注册。
该名接线人员表示,该患者入院后,诊断冠心病、急性冠脉综合征,手术指征明确皇冠信用网在线注册。“术前已与患者及家属沟通病情,告知其冠脉造影及冠脉支架植入术的必要性及相关风险。”
这一说法可以在高女士提供的病程记录中得到印证皇冠信用网在线注册。相关记录显示,9月4日,手术医师进行查房,随后与患者及家属沟通病情,告知其冠脉造影及冠脉支架植入术的必要性及相关风险,其中提及,术后可能出现支架再狭窄或支架内血栓形成,可造成相关脏器急性缺血坏死或功能障碍,危及生命,以及导丝、导管、鞘管等术中所用材料断裂、打折等,必要时需要外科手术治疗。
该医患办工作人员向南都记者解释称,术后院方组织了相关科室会诊,判断回旋支指引导丝远段断裂,与患者回旋支弥漫性动脉硬化重度狭窄病变及钙化有关皇冠信用网在线注册。“如果患者需要做医疗事故鉴定,院方将全力配合。如果对方经济困难,医院愿意垫付费用做鉴定。”其还表示,医院将根据第三方相关鉴定,承担院方该承担的责任。
南都记者了解到,当前高女士向医院提出30万的索赔,院方认为索赔数目太高,建议走司法程序进行司法鉴定,以此明确医院的过错及比例,如果家属对血管里的导丝感到担心,医院可先补偿8000元皇冠信用网在线注册。
高女士表示,当前她已将诉求反映至省卫健委有关部门,正在进一步等候处理中皇冠信用网在线注册。
采写:南都N视频记者 林诗妍
猜你喜欢
- 5小时前怎么申请皇冠信用网 _广东一男子20多年不敢一个人出门,医生从他脑中取出10厘米活虫
- 10小时前皇冠信用網代理注册 _2026世界杯分组:三个东道主好签 法国挪威同组+日本战荷兰
- 11小时前皇冠信用網网址 _北京一老人家中电视机突起火 消防:插头长期不拔有风险
- 12小时前如何找当地皇冠代理 _2025足协杯决赛前瞻:北京国安对决河南,谁能夺得桂冠?
- 17小时前皇冠信用網怎么租 _我就是那个傻子!陈震的回旋镖自中眉心
- 17小时前皇冠信用網怎么租 _中国”准航母“现身菲律宾海,澳国防部长公开声明:正在对此实施严密监视
- 24小时前怎么申请皇冠信用网 _上百战舰集结东部海域!英媒:史无前例,大陆誓要进行最大规模武力展示?
- 1天前皇冠信用网怎么代理 _冯德莱恩提出新版没收俄资产方案,俄称欧盟将受到“最严厉的回应”,比利时反对新方案
- 2天前皇冠信用盘会员申请 _刘伟任吉林省副省长
- 2天前皇冠信用网登123出租 _普京警告欧洲后,车臣领导人卡德罗夫:就等你一声令下,我绝不会客气
- 2天前皇冠信用网登123出租 _刘伟升任吉林省副省长
- 2天前皇冠信用庄家 _失望的米克尔·阿尔特塔在德克兰·赖斯和耶森·莫斯科受伤后发声,将矛头指向密集赛程
- 2天前皇冠足球平台代理 _吉林松原34岁男子姚某连续2天流窜2地致2人死亡,警方通报:已安全抓获
- 2天前皇冠信用盘账号 _“情侣婚前先后坠楼身亡”事件进展:男方提出赔偿归还超百万元,女方称他们也是受害者
- 2天前足球全部比赛 _DeepSeek新模型达到奥数金牌水平
- 2天前英格兰联赛 _中国人带娃偷渡去美国“避难”,结果父亲被抓孩子“失踪”
- 3天前迈阿密热火vs洛杉矶快船 _俄军宣布正式占领红军城!俄罗斯伤亡五万人,大批乌军尸横遍野,最后决战即将打响
- 3天前波多黎各 vs 牙买加 _昆明警方意外查获名为“武林秘籍”的表格,详细划分人设、开场白……
- 3天前波多黎各 vs 牙买加 _普京与美特使会谈5小时后,俄方表示不能接受领土问题折中方案
- 3天前华盛顿奇才 vs 密尔洪基雄鹿 _乌军否认俄控制红军城:俄军在展示旗帜后撤离,以此进行宣传造势;此前普京称主动权完全掌握在俄军手中
- 4天前波士顿凯尔特人 vs纽约尼克斯 _高速公路,要开始集中免费了吗
- 4天前冰球 _印度媒体圈炸了:莫迪向普京要了5件杀器,件件针对解放军
- 5天前利物浦比分 _上海一辆蔚来EC6撞石墩后车尾断裂,客服回应:目前已与车主取得联系,正在复盘事故经过
- 5天前皇冠信用网在线注册 _别吹齐尔克泽了!8.5分王牌才是曼联逆转水晶宫的真核


网友评论